Rozdział 1
Lewe jamy serca
Przypadki dla początkujacych
-
- Video
Wideo Echokardiografia. Przypadek 13
prof. dr hab. n. med. Olga TrojnarskaDwoje pacjentów z objawami niewydolności serca, po przebytym zawale serca.
Przejdź do wideo -
- Video
Wideo Pułapki Echokardiograficzne. Przypadek 40
dr n. med. Barbara LichodziejewskaFałszywy koniuszek oraz pokrewne.
Przejdź do wideo -
- Video
Wideo Echokardiografia. Przypadek 3
prof. dr hab. n. med. Piotr LipiecPacjent z wysiłkowymi bólami w klatce piersiowej i głośnym szmerem wyrzutowym.
Przejdź do wideo -
- Video
Wideo Echokardiografia. Przypadek 1
prof. dr hab. n. med. Piotr LipiecDwie pacjentki z ostrym bólem w klatce piersiowej, zmianami w EKG i podwyższonymi poziomami markerów uszkodzenia mięśnia sercowego.
Przejdź do wideo
Przypadki dla średniozaawansowanych
-
- Video
Wideo Echokardiografia. Przypadek 33
dr hab. n. med. prof. UJ Andrzej GackowskiPacjentka z zawałem bez uniesienia odcinka ST.
Przejdź do wideo -
- Video
Wideo Echokardiografia. Przypadek 29
prof. dr hab. n. med. Zbigniew GąsiorPacjent ze spoczynkowymi bólami zamostkowymi i gorączką od kilku dni. Pacjent z niewydolnością serca z obniżoną frakcją wyrzutową.
Przejdź do wideo -
- Video
Wideo Echokardiografia. Przypadek 27
prof. dr hab. n. med. Zbigniew GąsiorPacjentka z kardiomiopatią przerostową, z napadowym migotaniem przedsionków, po implantacji ICD oraz przezskórnym zamknięciu uszka lewego przedsionka.
Przejdź do wideo -
- Video
Wideo Echokardiografia. Przypadek 26
prof. dr hab. n. med. Zbigniew GąsiorPacjentka z ostrym zawałem mięśnia sercowego z uniesieniem odcinka ST.
Przejdź do wideo -
- Video
Wideo Echokardiografia. Przypadek 10
prof. dr hab. n. med. Zbigniew GąsiorPacjent z przewlekłą niewydolnością serca na tle choroby niedokrwiennej serca, po rewaskularyzacji mięśnia sercowego, implantacji kardiowertera-defibr...
Przejdź do wideo
Przypadki dla zaawansowanych
-
- Video
Wideo Echokardiografia. Przypadek 44
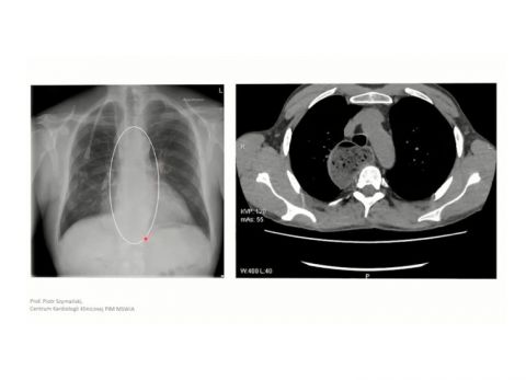
Prof. dr hab. n med. Piotr SzymańskiPacjentka z niewydolnością nerek
Przejdź do wideo -
- Video
Wideo Echokardiografia. Przypadek 41
prof. dr hab. n. med. Jarosław KasprzakDane kliniczne:Pacjent z niewydolnością serca i przewlekłym zespołem wieńcowymRozpoznanie główne:Amyloidoza transtyretynowaNiewydolność serca z zachow...
Przejdź do wideo -
- Video
Wideo Echokardiografia. Przypadek 42
prof. dr hab. n. med. Jarosław KasprzakDane kliniczne:Pacjentka z niewydolnością sercaRozpoznanie główne:Kardiomiopatia przerostowa z zawężaniem drogi odpływu lewej komoryPoruszane zagadnie...
Przejdź do wideo -
- Video
Wideo Echokardiografia. Przypadek 35
prof. dr hab. n. med. Piotr HoffmanPacjentka z wrodzoną wadą serca, po przezskórnym leczeniu (stentowaniu lewej tętnicy płucnej).
Przejdź do wideo