Opis
Pułapki echokardiograficzne okiem praktyka.
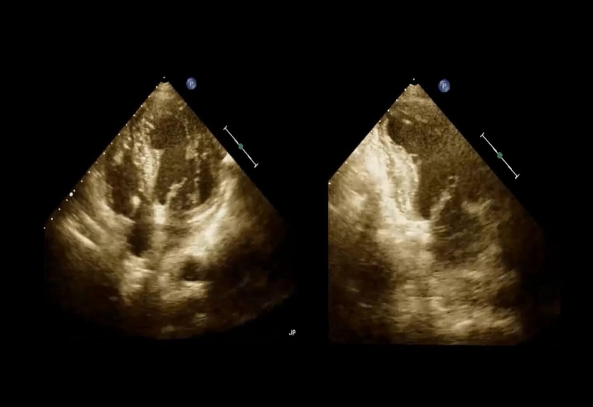
Pułapki echokardiografii - praktyczne wskazówki i zalecenia.
- Fałszywy koniuszek – mechanizm powstawania.
- Uzyskanie właściwego obrazu echokardiografii.
- „Ścinanie” – kiedy się przydaje, kiedy szkodzi?
- Jak unikać zjawiska fałszywego koniuszka?
Poruszane zagadnienia echokardiograficzne:
Echokardiografia przezklatkowa
Uzyskiwanie prawidłowych projekcji koniuszkowych.
Poziom zaawansowania:
Początkujący
___
Prezentowany przypadek został opracowany do celów edukacyjnych.
Prowadzący
-
Barbara Lichodziejewska
Klinika Chorób Wewnętrznych i Kardiologii WUM
Rozwiń
Zajmuje się badaniami echokardiograficznymi od początku swej pracy zawodowej, czyli od roku 1980. Wykonuje badania przezklatkowe, badania przezprzełykowe wraz z monitorowaniem zabiegów przezskórnych a także próby z dobutaminą. Przez 20 lat działała w Pracowni Echokardiografii w Klinice Kardiologii CMKP w Szpitalu Grochowskim. Od roku 2000 pracuje w Klinice Chorób Wewnętrznych i Kardiologii WUM w Szpitalu Klinicznym Dzieciątka Jezus przy ul. Lindleya, gdzie zorganizowała Pracownię Echokardiografii i przez wiele lat była jej Kierownikiem. Od roku 1985 aktywnie uczestniczy w projektach edukacyjnych z zakresu echokardiografii - prowadzi wykłady na kursach, szkolenia oraz szkolenia indywidualne.
Ma w dorobku 1 samodzielną monografię, 32 rozdziały w monografiach i artykuły poglądowe, 34 opublikowane artykuły naukowe a także różne broszury i inne materiały szkoleniowe. Organizowała wiele kursów echokardiografii a zarchiwizowany dydaktyczny materiał obrazowy obejmuje dziesiątki tysięcy filmów i zdjęć.
Główne zainteresowania to echokardiografia w ocenie prawej części serca (nadciśnienie płucne, zatorowość płucna, patologie zastawek trójdzielnej i płucnej, patologie prawej komory), zastosowanie echokardiografii w diagnostyce funkcji rozkurczowej lewej komory, infekcyjnego zapalenia wsierdzia i chorób osierdzia a także możliwości obrazowania za pomocą echokardiografii przezprzełykowej i echokardiografii trójwymiarowej.
Zobacz wszystkie materiały