Opis
Dane kliniczne:
Pacjentka z niewydolnością nerek
Rozpoznanie główne:
Łagodne zwężenie zastawki aortalnej
Przerost mięśnia lewej komory z dysfunkcją rozkurczową
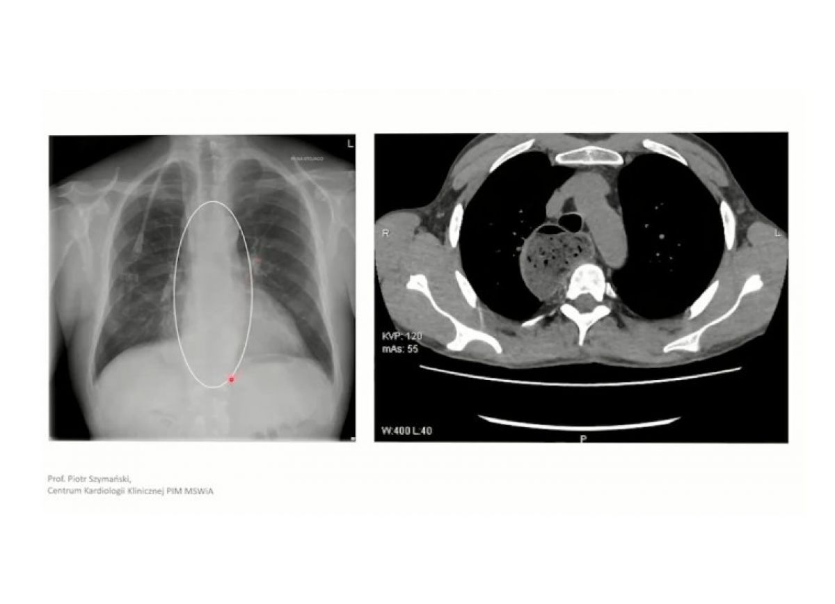
Achalazja przełyku
Poruszane zagadnienia echokardiograficzne:
Echokardiografia przezklatkowa
Ocena pacjentów kwalifikowanych do przeszczepu nerek
Ocena przerostu mięśnia lewej komory
Ocena funkcji skurczowej lewej komory
Ocena funkcji rozkurczowej lewej komory
Ocena zwężenia zastawki aortalnej
Poziom zaawansowania:
Zaawansowany
Aktualizacja:
Nie dotyczy
Prowadzący
-
Piotr Szymański
Centrum Kardiologii Klinicznej w Warszawie
Rozwiń
Jest kierownikiem Centrum Kardiologii Klinicznej Państwowego Instytutu Medycznego MSWiA w Warszawie. Wcześniej przez wiele lat związany był z Kliniką Wad Wrodzonych Serca oraz Kliniką Wad Zastawkowych Serca Instytutu Kadioogii w Warszawie. Jest ekspertem Asocjacji Echokardiografii Polskiego Towarzystwa Kardiologicznego. W latach 2019–2021 pełnił rolę Przewodniczącego Sekcji Echokardiografii.
Jego doświadczenie obejmuje pełne spektrum badań echokardiograficznych, w tym w wadach wrodzonych serca, echokardiografię interwencyjną. Jest autorem i współautorem licznych publikacji oraz rozdziałów naukowych poświęconych diagnostyce echokardiograficznej, wadom wrodzonym i nabytym serca, a także praktycznemu zastosowaniu technik obrazowych w kardiologii.
Zobacz wszystkie materiały