Opis
Dane kliniczne:
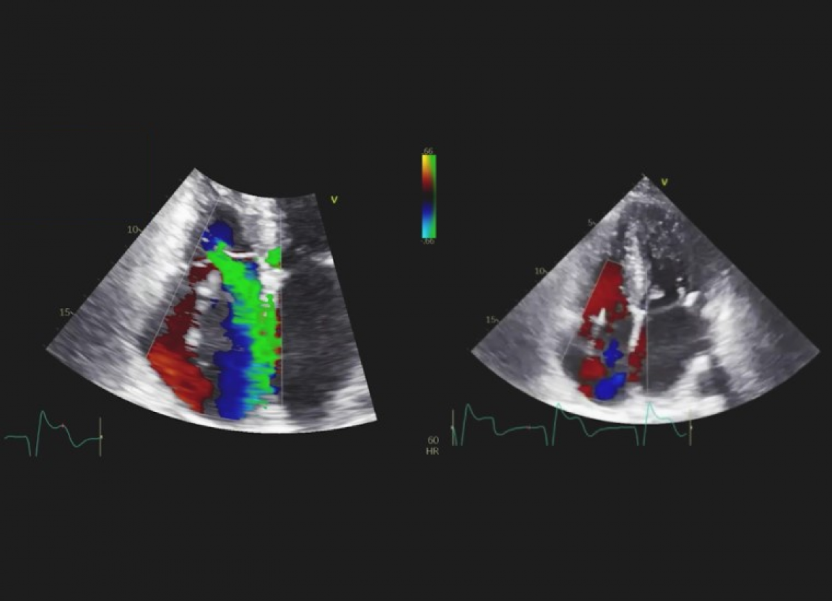
Pacjentka z kardiomiopatią przerostową, z napadowym migotaniem przedsionków, po implantacji ICD oraz przezskórnym zamknięciu uszka lewego przedsionka.
Rozpoznanie główne (obraz echokardiograficzny):
Kardiomiopatia przerostowa z zawężaniem drogi odpływu lewej komory. Ciężka niedomykalność trójdzielna.
Poruszane zagadnienia echokardiograficzne:
Echokardiografia przezklatkowa i przezprzełykowa
Echokardiografia trójwymiarowa.
Ocena kardiomiopatii przerostowej.
Ocena po przezskórnym zamknięciu uszka lewego przedsionka.
Ocena odkształcenia podłużnego.
Poziom zaawansowania:
Średniozaawansowany
___
Prezentowany przypadek został opracowany do celów edukacyjnych.
Prowadzący
-
Zbigniew Gąsior
Górnośląskie Centrum Medyczne w Katowicach
Rozwiń
Kierownik Katedry i Kliniki Kardiologii SUM Ordynator II Oddziału Kardiologii Górnośląskiego Centrum Medycznego w Katowicach.
Ma na swoim koncie 330 opublikowanych pełnotekstowych artykułów naukowych, 2 druki zwarte oraz 46 rozdziałów w monografiach. Kierownik grantów naukowych finansowanych przez KBN i NCN. Recenzent wniosków do tytułu profesora, habilitacji i dysertacji doktorskich. Organizator konferencji naukowo dydaktycznych, kursów i warsztatów dla lekarzy.
Główne kierunki pracy badawczej:
- diagnostyka i terapia w ostrych zespołach wieńcowych,
- diagnostyka wrodzonych i nabytych wad serca oraz chorych,ze sztucznymi zastawkami serca,
- diagnostyka i leczenie chorych z ciężką niewydolnością serca,
- badania nad etiologią zapalną choroby wieńcowej,
- echokardiografia obciążeniowa w diagnostyce choroby wieńcowej, hemodynamika serca w stymulacji endokawitarnej.
Zobacz wszystkie materiały