Opis
Dane kliniczne:
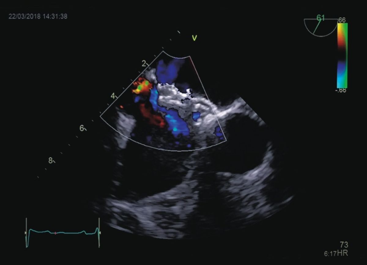
Pacjentka z pogorszeniem tolerancji wysiłku, kołataniami serca i cichym szmerem skurczowym
Rozpoznanie główne:
Ubytek w przegrodzie międzyprzedsionkowej typu otworu wtórnego
Poruszane zagadnienia echokardiograficzne:
Echokardiografia przezklatkowa i przezprzełykowa
Ocena ubytku w przegrodzie międzyprzedsionkowej
Ocena prawych jam serca
Kwalifikacja do przezskórnego zamknięcia ubytku w przegrodzie międzyprzedsionkowej
Poziom zaawansowania:
Początkujący
___
Prezentowany przypadek został opracowany do celów edukacyjnych.
Prowadzący
-
Piotr Lipiec
Zakład Szybkiej Diagnostyki Kardiologicznej Katedry Kardiologii Uniwersytetu Medycznego w Łodzi
Rozwiń
Kierownik Zakładu Szybkiej Diagnostyki Kardiologicznej Katedry Kardiologii Uniwersytetu Medycznego w Łodzi
Specjalista chorób wewnętrznych i kardiologii
Autor/współautor ponad 200 pełnotekstowych prac opublikowanych w recenzowanych czasopismach, 7 wytycznych i stanowisk grup ekspertów i ponad 20 rozdziałów podręczników krajowych i zagranicznych
Redaktor/współredaktor 8 podręczników i monografii, w tym Podręcznika Kardiologii PTK i Podręcznika Echokardiografii Sekcji Echokardiografii PTK
Członek Zarządu Głównego PTK w latach 2017-2021
Przewodniczący Sekcji Echokardiografii PTK w latach 2015-2017
Ekspert Sekcji Echokardiografii PTK
Przewodniczący Komisji Nagród PTK w latach 2017-2021
Zastępca Redaktora Naczelnego czasopisma Cardiovascular Ultrasound (IF 2,043)
Zobacz wszystkie materiały