Rozdział 2
Prawe jamy serca i krążenie płucne
Przypadki dla początkujacych
-
- Video
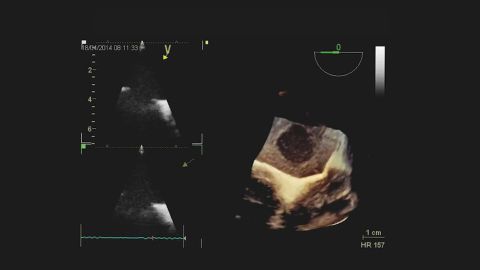
Wideo Pułapki Echokardiograficzne. Przypadek 37
dr n. med. Barbara LichodziejewskaŻyły główne - dolna i górna. Ich ujścia do prawego przedsionka.
Przejdź do wideo -
- Video
Wideo Echokardiografia. Przypadek 14
prof. dr hab. n. med. Olga TrojnarskaTroje pacjentów z podejrzeniem wady wrodzonej serca.
Przejdź do wideo -
- Video
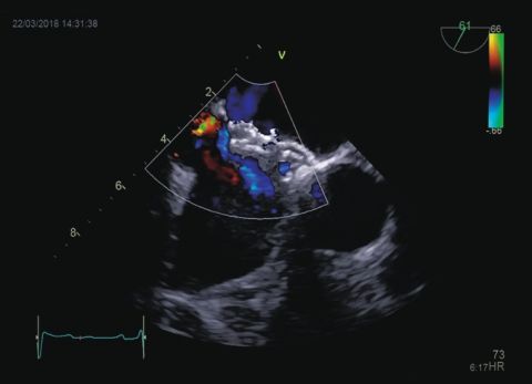
Wideo Pułapki Echokardiograficzne. Przypadek 39
dr n. med. Barbara LichodziejewskaPień płucny i jego zastawka. Tajemnicze obrazy.
Przejdź do wideo -
- Video
Wideo Echokardiografia. Przypadek 11
prof. dr hab. n. med. Zbigniew GąsiorPacjentka z narastającą od miesięcy dusznością wysiłkową (klasa NYHA III); przewlekła choroba nerek, nadciśnienie tętnicze.
Przejdź do wideo -
- Video
Wideo Echokardiografia. Przypadek 7
prof. dr hab. n. med. Piotr LipiecPacjentka z pogorszeniem tolerancji wysiłku, kołataniami serca i cichym szmerem skurczowym.
Przejdź do wideo -
- Video
Wideo Echokardiografia. Przypadek 6
prof. dr hab. n. med. Piotr LipiecPacjentka z pogorszeniem tolerancji wysiłku, długotrwałą gorączką i szmerem skurczowo-rozkurczowymi; w wywiadzie narkomania.
Przejdź do wideo -
- Video
Wideo Echokardiografia. Przypadek 2
prof. dr hab. n. med. Piotr LipiecPacjent z ostrą dusznością i hipotonią, bez wcześniejszego wywiadu chorób układu krążenia.
Przejdź do wideo
Przypadki dla średniozaawansowanych