Rozdział 7
Ostre stany kardiologiczne
Przypadki dla początkujacych
-
- Video
Wideo Echokardiografia. Przypadek 8
prof. dr hab. n. med. Piotr LipiecPacjentka dusznością wysiłkową; w wywiadzie leczenie operacyjne z powodu raka pęcherza moczowego.
Przejdź do wideo -
- Video
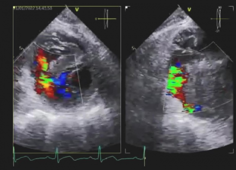
Wideo Echokardiografia. Przypadek 6
prof. dr hab. n. med. Piotr LipiecPacjentka z pogorszeniem tolerancji wysiłku, długotrwałą gorączką i szmerem skurczowo-rozkurczowymi; w wywiadzie narkomania.
Przejdź do wideo -
- Video
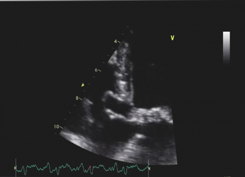
Wideo Echokardiografia. Przypadek 2
prof. dr hab. n. med. Piotr LipiecPacjent z ostrą dusznością i hipotonią, bez wcześniejszego wywiadu chorób układu krążenia.
Przejdź do wideo -
- Video
Wideo Echokardiografia. Przypadek 1
prof. dr hab. n. med. Piotr LipiecDwie pacjentki z ostrym bólem w klatce piersiowej, zmianami w EKG i podwyższonymi poziomami markerów uszkodzenia mięśnia sercowego.
Przejdź do wideo
Przypadki dla średniozaawansowanych
-
- Video
Wideo Echokardiografia. Przypadek 33
dr hab. n. med. prof. UJ Andrzej GackowskiPacjentka z zawałem bez uniesienia odcinka ST.
Przejdź do wideo -
- Video
Wideo Echokardiografia. Przypadek 32
dr hab. n. med. prof. UJ Andrzej GackowskiPacjentka z dusznością spoczynkową, po wymianie zastawki mitralnej.
Przejdź do wideo -
- Video
Wideo Echokardiografia. Przypadek 29
prof. dr hab. n. med. Zbigniew GąsiorPacjent ze spoczynkowymi bólami zamostkowymi i gorączką od kilku dni. Pacjent z niewydolnością serca z obniżoną frakcją wyrzutową.
Przejdź do wideo -
- Video
Wideo Echokardiografia. Przypadek 28
prof. dr hab. n. med. Zbigniew GąsiorPacjentka z niewydolnością serca NYHA III, po wymianie zastawki mitralnej, z utrwalonym migotaniem przedsionków, po implantacji kardiostymulatora.
Przejdź do wideo -
- Video
Wideo Echokardiografia. Przypadek 26
prof. dr hab. n. med. Zbigniew GąsiorPacjentka z ostrym zawałem mięśnia sercowego z uniesieniem odcinka ST.
Przejdź do wideo