Opis
Dane kliniczne:
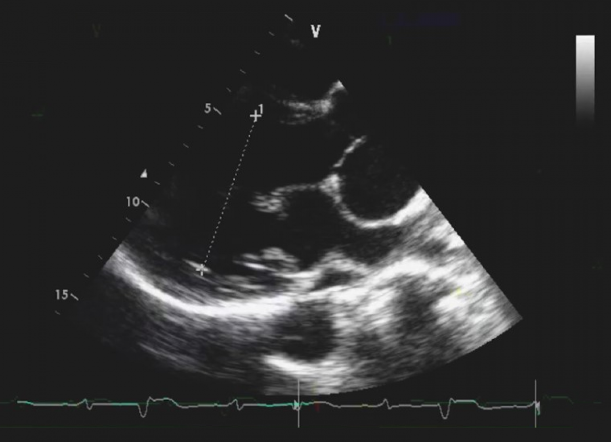
Troje pacjentów po korekcji wad wrodzonych, z objawami infekcyjnego zapalenia wsierdzia
Rozpoznanie główne:
Infekcyjne zapalenie wsierdzia u pacjenta po korekcji tetralogii Fallota
Infekcyjne zapalenie wsierdzia w obrębie biologicznej zastawki pnia płucnego wszczepionej przezcewnikowo
Poruszane zagadnienia echokardiograficzne:
Echokardiografia przezklatkowa
Echokardiografia trójwymiarowa.
Diagnostyka echokardiograficzna infekcyjnego zapalenia wsierdzia
Ocena pacjentów po korekcji wady wrodzonej
Poziom zaawansowania:
Średniozaawansowany
Prowadzący
-
Piotr Hoffman
Instytut Kardiologii Warszawa – Anin
Rozwiń
Certyfikaty i umiejętności
Echokardiografia przezklatkowa i przezprzełykowa
Studia
1973–1979 Akademia Medyczna w Warszawie, Wydział Lekarski
Przebieg pracy zawodowej
1984– Instytut Kardiologii Warszawa – Anin, Zakład Diagnostyki Nieinwazyjnej i Klinika Szybkiej Diagnostyki, od 2002 - Klinika Wad Wrodzonych Serca
1979–1984 Oddział Kardiologiczny, Centralny Szpital Kolejowy, Warszawa – Międzylesie
Dorobek naukowy
1989 – doktorat w Instytucie Kardiologii Warszawa – Anin - Ultradźwiękowa ocena stosunku przepływu płucnego do systemowego we wrodzonych wadach serca z przeciekiem lewo-prawym
1998 – doktor habilitowany nauk medycznych - Porównanie wartości diagnostycznej echokardiografii przezprzełykowej i pzezklatkowej w wadach wrodzonych serca u dorosłych
2006 – profesor zwyczajny
Dorobek zawodowy
Badania echokardiograficzne od 1980 roku, łącznie około 35 000 badań przezklatkowych, około 4 500 badań przezprzełykowych.
Zainteresowania zawodowe
Diagnostyka obrazowa wad wrodzonych i nabytych serca, optymalizacja i wykorzystanie kliniczne diagnostyki ultradźwiękowej w kardiologii.
Przynależność do towarzystw i organizacji
Polskie Towarzystwo Kardiologiczne
Sekcja Echokardiografii PTK
Sekcja Wad Wrodzonych serca u Młodocianych i Dorosłych
Sekcja Wad Nabytych Serca
Sekcja krążenia płucnego
European Society of Echocardiography
European Association of Echocardiography
Inne informacje
Staże zagraniczne:
VIII - IX 1985, kliniczny w Wilhelmina Children’s Hospital, Utrecht, Holandia
VIII 1991 - VIII 1992, naukowy Europejskiego Towarzystwa Kardiologicznego, Western General Hospital, Hospital for Sick Children, Royal Infirmary, Edinburgh, Wielka Brytania
Zobacz wszystkie materiały