Data publikacji 15.09.2023
Czas oglądania ok. 13 min

Opis

Dane kliniczne:

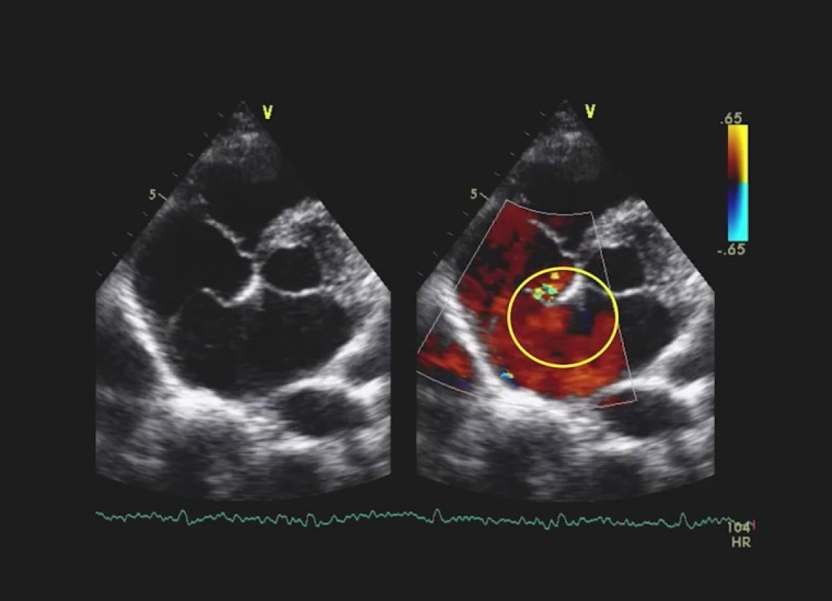
Pacjent z niewydolnością serca, ciężką niedomykalnością trójdzielną, przewlekłym zespołem wieńcowym, po przezskórnym zamknięciu uszka lewego przedsionka.

Rozpoznanie główne (obraz echokardiograficzny):

Ciężka niedomykalność mitralna i trójdzielna.

Poruszane zagadnienia echokardiograficzne:

Echokardiografia przezklatkowa i przezprzełykowa.

Echokardiografia trójwymiarowa.

Ocena niedomykalności mitralnej.

Ocena niedomykalności trójdzielnej.

Kwalifikacja do przezskórnego leczenia niedomykalności mitralnej i trójdzielnej.

Ocena po przezskórnym leczeniu niedomykalności mitralnej i trójdzielnej.

Poziom zaawansowania:

Zaawansowany

___
Prezentowany przypadek został opracowany do celów edukacyjnych.