Opis
Dane kliniczne:
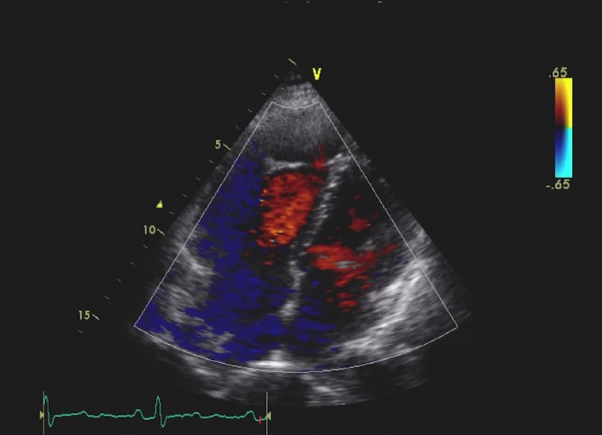
Pacjent z narastająca dusznością z podejrzeniem niedomykalności aortalnej.
Rozpoznanie główne (obraz echokardiograficzny):
Przewlekłe rozwarstwienie aorty z ciężką niedomykalnością aortalną.
Poruszane zagadnienia echokardiograficzne:
Echokardiografia przezklatkowa i przezprzełykowa.
Echokardiografia trójwymiarowa.
Ocena niedomykalności aortalnej.
Diagnostyka rozwarstwienia aorty.
Artefakty w obrazowaniu zastawek.
Poziom zaawansowania:
Zaawansowany
___
Prezentowany przypadek został opracowany do celów edukacyjnych.
Prowadzący
-
Andrzej Gackowski
Pracownia Echokardiografii Kliniki Choroby Wieńcowej
Rozwiń
ZATRUDNIENIE:
- Kierownik Pracowni Echokardiografii Kliniki Choroby Wieńcowej – od 1992 r.
WYKSZTAŁCENIE
- Akademia Medyczna w Krakowie, Wydział Lekarski, 1991 r.
- Specjalizacja: Specjalista Chorób Wewnętrznych I stopnia, 1995 r.
- Specjalizacja: Specjalista Chorób Wewnętrznych II stopnia, 2000 r.
- Stopień naukowy: doktor nauk medycznych z wyróżnieniem, 2000 r.
- Specjalizacja: Specjalista Kardiolog, 2004 r.
- Tytuł: „European Cardiologist”, 2005 r.
- Tytuł: „Fellow of the European Society of Cardiology”, 2007 r.
- Stopień naukowy: doktor habilitowany nauk medycznych, 2011 r.
STYPENDIA / STAŻE ZAWODOWE:
- Bristol University Hospital, Wielka Brytania – 1991 r.
- Narodowy Instytut Badań, Instytut Fizjologii Klinicznej, Pisa, Włochy – 1991 r.
- Klinika Kardiologii Szpitala Uniwersyteckiego Essen, Niemcy – 1998 r.
- Instytut Kardiologii, Szpital Uniwersytecki Pitie Salpetriere Paryż, Francja – 2001 – 2002 r.
PEŁNIONE FUNKCJE – PROF. UJ DR HAB. N MED. ANDRZEJ GACKOWSKI:
- Klinika Choroby Wieńcowej UJ CM, od 1991 r. – adiunkt
- Centrum Interwencyjnego Leczenia Chorób Serca i Naczyń w Krakowskim Szpitalu Specjalistycznym im. Jana Pawła II – od 1997 r.
DYDAKTYKA:
- Uniwersytet Jagielloński, Collegium Medicum, adiunkt
- Uniwersytet Jagielloński, Collegium Medicum, wykładowca w Szkole dla Obcokrajowców
- Dwukrotne wyróżnienie studentów za prowadzenie zajęć
- Udział w badaniach klinicznych, m.in. GUSTO, INJECT, CIBIS II, EUROPA, MC-135, TRITON TIMI 38, polskie badania wieloośrodkowe na temat echokardiografii dobutaminowej
PRZYNALEŻNOŚĆ DO TOWARZYSTW – PROF. UJ DR HAB. N MED. ANDRZEJ GACKOWSKI:
- Polskie Towarzystwo Kardiologiczne (sekcje echokardiografii i kardiologii inwazyjnej)
- Europejskie Towarzystwo Kardiologiczne
- Europejskie Towarzystwo Echokardiograficzne
OTRZYMANE NAGRODY, WYRÓŻNIENIA I ODZNACZENIA:
- Zespołowa Nagroda Ministra Nauki i Szkolnictwa Wyższego za współautorstwo naukowego opracowania czterotomowego podręcznika „Echokardiografia Praktyczna” – 2006 r.
- Specjalna Nagroda Naukowa Polskiego Towarzystwa Kardiologicznego za 4-tomową monografię „Echokardiografia Praktyczna” – 2006 r.
- Medal Prezydenta Miasta Krakowa „Honoris gratia” – 2007 r.
Zobacz wszystkie materiały