Opis
Dane kliniczne:
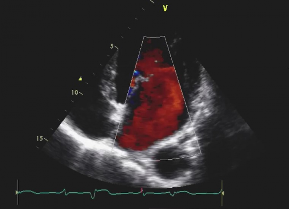
Pacjentka z zespołem Marfana
Rozpoznanie główne (obraz echokardiograficzny):
Zespół Marfana. Niedomykalność aortalna z istotnym poszerzeniem opuszki aorty.
Niedomykalność mitralna.
Poruszane zagadnienia echokardiograficzne:
Echokardiografia przezklatkowa
Ocena niedomykalności aortalnej.
Ocena aorty piersiowej.
Ocena pacjentów z zespołem Marfana,
Poziom zaawansowania:
Początkujący
Aktualizacja:
Zgodnie z wytycznymi ESC z 2020 roku dotyczącymi leczenia osób dorosłych z wrodzonymi wadami serca, naprawa zastawki aortalnej za pomocą reimplantacji lub plastyki techniką anuloplastyki aortalnej jest zalecana u młodych pacjentów z zespołem Marfana z poszerzoną opuszką aorty i trójpłatkową zastawką aortalną, jeśli jest wykonywana przez doświadczonego chirurga (klasa zaleceń IC).
___
Prezentowany przypadek został opracowany do celów edukacyjnych.
Prowadzący
-
Olga Trojnarska
Pracownia Echokardiografii, I Klinika Kardiologii Uniwersytetu Medycznego w Poznaniu
Rozwiń
Zatrudniona na stanowisku profesora I Kliniki Kardiologii Uniwersytetu Medycznego w Poznaniu pełniąc funkcję kierownika Pracowni Echokardiografii w tej klinice.
Specjalizuje się głównie w problematyce wad serca (w szczególności wrodzonych wad serca u dorosłych).
Prowadzi jedyną w zachodniej Polsce poradnię leczącą takich pacjentów. Kwalifikuje i uczestniczy w zabiegach nieinwazyjnych leczenia wad strukturalnych serca.
Ma ogromne doświadczenie w prowadzeniu ciężarnych z chorobami serca.
Aktywnie uczestniczy w działalności Sekcji Echokardiografii Polskiego Towarzystwa Kardiologicznego, której także przewodniczyła.
Jest członkiem Sekcji Wad Wrodzonych Serca u Dorosłych Europejskiego Towarzystwa Kardiologicznego.
Jest autorką ponad 250 publikacji naukowych.
Na dorobek naukowy Prof. dr hab. n. med. Olgi Trojnarskiej składa się szereg opracowań oryginalnych publikowanych, m.in. w czasopismach takich jak: „Circulation”, „PLOS ONE", „Postępy w Kardiologii Interwencyjnej”, „Journal of Cardiology” oraz „Kardiologia Polska”.
Zobacz wszystkie materiały