Opis
Dane kliniczne:
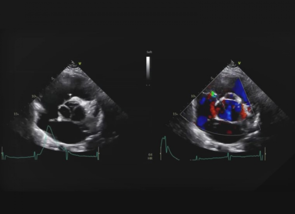
Pacjentka z niewydolnością serca NYHA III i szmerem rozkurczowym
Rozpoznanie główne (obraz echokardiograficzny):
Zespół Marfana. Niedomykalność aortalna z istotnym poszerzeniem opuszki aorty.
Poruszane zagadnienia echokardiograficzne:
Echokardiografia przezklatkowa
Ocena niedomykalności aortalnej.
Ocena aorty piersiowej.
Ocena pacjentów z zespołem Marfana,
Poziom zaawansowania:
Początkujący
___
Prezentowany przypadek został opracowany do celów edukacyjnych.
Prowadzący
-
Zbigniew Gąsior
Górnośląskie Centrum Medyczne w Katowicach
Rozwiń
Kierownik Katedry i Kliniki Kardiologii SUM Ordynator II Oddziału Kardiologii Górnośląskiego Centrum Medycznego w Katowicach.
Ma na swoim koncie 330 opublikowanych pełnotekstowych artykułów naukowych, 2 druki zwarte oraz 46 rozdziałów w monografiach. Kierownik grantów naukowych finansowanych przez KBN i NCN. Recenzent wniosków do tytułu profesora, habilitacji i dysertacji doktorskich. Organizator konferencji naukowo dydaktycznych, kursów i warsztatów dla lekarzy.
Główne kierunki pracy badawczej:
- diagnostyka i terapia w ostrych zespołach wieńcowych,
- diagnostyka wrodzonych i nabytych wad serca oraz chorych,ze sztucznymi zastawkami serca,
- diagnostyka i leczenie chorych z ciężką niewydolnością serca,
- badania nad etiologią zapalną choroby wieńcowej,
- echokardiografia obciążeniowa w diagnostyce choroby wieńcowej, hemodynamika serca w stymulacji endokawitarnej.
Zobacz wszystkie materiały