Opis
Dane kliniczne:
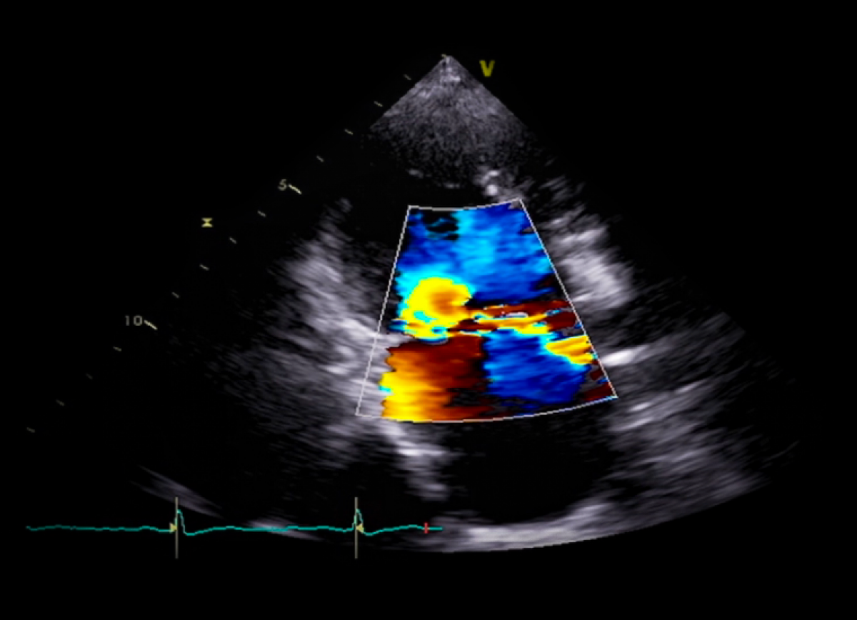
Pacjent z pogorszeniem tolerancji wysiłku, kołataniami serca i głośnym szmerem holosystolicznym
Rozpoznanie główne:
Ciężka niedomykalność mitralna na tle wypadania płatka z zerwaniem struny ścięgnistej
Poruszane zagadnienia echokardiograficzne:
Echokardiografia przezklatkowa i przezprzełykowa
Ocena pierwotnej niedomykalności mitralnej
Poziom zaawansowania:
Początkujący
Aktualizacja:
Algorytm postępowania w ciężkiej pierwotnej przewlekłej niedomykalności mitralnej przedstawiony na przedostatnim slajdzie oparty jest o wytyczne ESC z 2017 roku. W wytycznych z 2021 roku przedstawia się on następująco:

___
Prezentowany przypadek został opracowany do celów edukacyjnych.
Prowadzący
-
Piotr Lipiec
Zakład Szybkiej Diagnostyki Kardiologicznej Katedry Kardiologii Uniwersytetu Medycznego w Łodzi
Rozwiń
Kierownik Zakładu Szybkiej Diagnostyki Kardiologicznej Katedry Kardiologii Uniwersytetu Medycznego w Łodzi
Specjalista chorób wewnętrznych i kardiologii
Autor/współautor ponad 200 pełnotekstowych prac opublikowanych w recenzowanych czasopismach, 7 wytycznych i stanowisk grup ekspertów i ponad 20 rozdziałów podręczników krajowych i zagranicznych
Redaktor/współredaktor 8 podręczników i monografii, w tym Podręcznika Kardiologii PTK i Podręcznika Echokardiografii Sekcji Echokardiografii PTK
Członek Zarządu Głównego PTK w latach 2017-2021
Przewodniczący Sekcji Echokardiografii PTK w latach 2015-2017
Ekspert Sekcji Echokardiografii PTK
Przewodniczący Komisji Nagród PTK w latach 2017-2021
Zastępca Redaktora Naczelnego czasopisma Cardiovascular Ultrasound (IF 2,043)
Zobacz wszystkie materiały