Opis
Dane kliniczne:
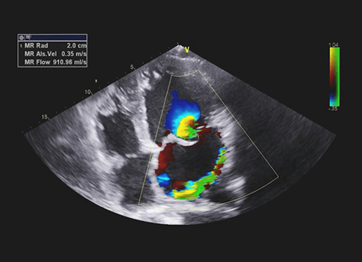
Dwie pacjentki z zaburzeniami rytmu i podejrzeniem wady mitralnej.
Rozpoznanie główne (obraz echokardiograficzny):
Ciężka niedomykalność mitralna na tle wypadania płatka zastawki mitralnej.
Umiarkowana niedomykalność mitralna na tle wypadania płatków zastawki mitralnej (zespół Barlowa).
Poruszane zagadnienia echokardiograficzne:
Echokardiografia przezklatkowa
Ocena niedomykalności mitralnej.
Ocena krążenia płucnego.
Poziom zaawansowania:
Początkujący
Aktualizacja:
Przedstawiony w prezentacji algorytm postępowania w ciężkiej pierwotnej przewlekłej niedomykalności mitralnej oparty jest o wytyczne ESC z 2017 roku. W wytycznych z 2021 roku przedstawia się on następująco:

___
Prezentowany przypadek został opracowany do celów edukacyjnych.
Prowadzący
-
Olga Trojnarska
Pracownia Echokardiografii, I Klinika Kardiologii Uniwersytetu Medycznego w Poznaniu
Rozwiń
Zatrudniona na stanowisku profesora I Kliniki Kardiologii Uniwersytetu Medycznego w Poznaniu pełniąc funkcję kierownika Pracowni Echokardiografii w tej klinice.
Specjalizuje się głównie w problematyce wad serca (w szczególności wrodzonych wad serca u dorosłych).
Prowadzi jedyną w zachodniej Polsce poradnię leczącą takich pacjentów. Kwalifikuje i uczestniczy w zabiegach nieinwazyjnych leczenia wad strukturalnych serca.
Ma ogromne doświadczenie w prowadzeniu ciężarnych z chorobami serca.
Aktywnie uczestniczy w działalności Sekcji Echokardiografii Polskiego Towarzystwa Kardiologicznego, której także przewodniczyła.
Jest członkiem Sekcji Wad Wrodzonych Serca u Dorosłych Europejskiego Towarzystwa Kardiologicznego.
Jest autorką ponad 250 publikacji naukowych.
Na dorobek naukowy Prof. dr hab. n. med. Olgi Trojnarskiej składa się szereg opracowań oryginalnych publikowanych, m.in. w czasopismach takich jak: „Circulation”, „PLOS ONE", „Postępy w Kardiologii Interwencyjnej”, „Journal of Cardiology” oraz „Kardiologia Polska”.
Zobacz wszystkie materiały